19-Year-Old Male Athlete With Bicuspid Aortic Valve and Athletic Heart Needing Clearance Prior to Professional Soccer Tryout

19-Year-Old Male Athlete With Bicuspid Aortic Valve and Athletic Heart Needing Clearance Prior to Professional Soccer Tryout

19-Year-Old Male Athlete With Bicuspid Aortic Valve and Athletic Heart Needing Clearance Prior to Professional Soccer Tryout

19-Year-Old Male Athlete With Bicuspid Aortic Valve and Athletic Heart Needing Clearance Prior to Professional Soccer Tryout

19-Year-Old Male Athlete With Bicuspid Aortic Valve and Athletic Heart Needing Clearance Prior to Professional Soccer Tryout

19-Year-Old Male Athlete With Bicuspid Aortic Valve and Athletic Heart Needing Clearance Prior to Professional Soccer Tryout

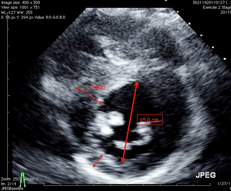
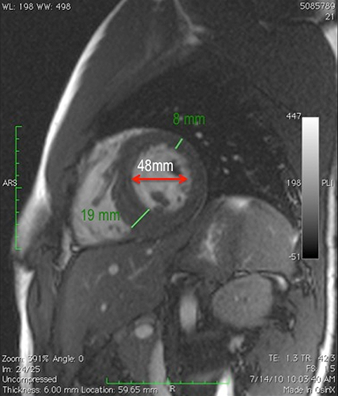
A 19-year-old college athlete with prior diagnoses of a bicuspid aortic valve and an "athletic heart" is scheduled to leave for tryouts for a professional soccer team in Spain. Independent review of his electrocardiogram (ECG) (Figure 1) prompted a closer look at his last evaluation by his pediatric cardiologist. The echocardiogram showed mild AS from a bicuspid valve aortic valve without aortic dilatation (Figures 2 and 3). His left ventricular cavity was small with abnormal papillary muscle size and position (Figure 4). Cardiac magnetic resonance imaging (MRI) was suggested and showed findings similar to the echocardiogram (Video 1); in addition there was delayed enhancement suggestive of fibrosis (Video 2). A stress test was performed, and a 3 beat run of ventricular tachycardia (VT) occurred in stage five (Figure 5). He was restricted from competitive sports and first-degree relatives were evaluated. No gene mutation was identified. His father was screened. Although he had no evidence of aortic valve disease or aneurysm formation, the patient was diagnosed with hypertrophic obstructive cardiomyopathy (HOCM) and was restricted from playing competitive soccer.

Which of the following is the best option for management of this patient?

Show Answer